Cas Cliniques Dentaires
Le cabinet dentaire Echetouani Charron présente ses cas cliniques réalisés à Romilly-sur-Seine : implants dentaires, soins esthétiques et réhabilitations complètes du sourire. Chaque traitement est personnalisé pour garantir un résultat naturel, fonctionnel et durable.
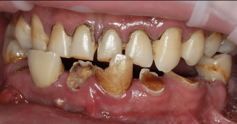
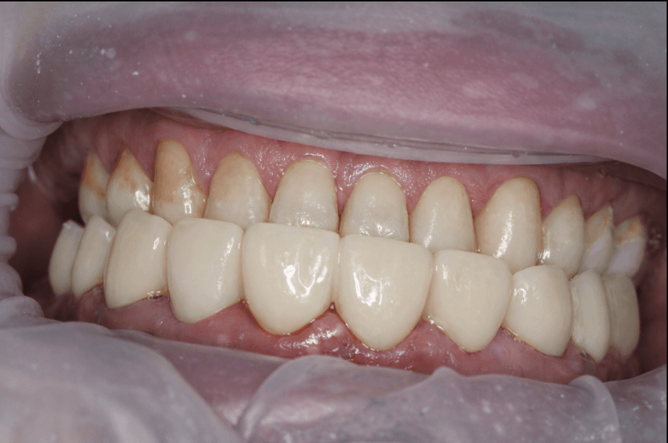
Réhabilitation Esthétique


AVANT
APRÈS
Chirurgie Muccogingivale


AVANT
APRÈS
Implant


AVANT
APRÈS
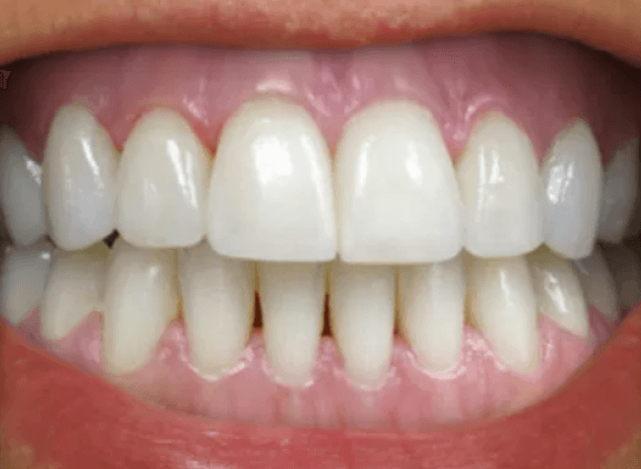
Blanchiment des Dents


AVANT
APRÈS
